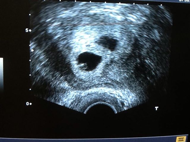
婦女子宮內膜異位症 像顆大草莓--台灣導報
http://www.flickr.com/photos/41541241@N08/8956977773/
<a href="http://www.flickr.com/photos/41...
中視CTV報導博元婦產科:EEVA縮時攝影選胚胎,助孕資優娃娃! 啥?電腦會選胚胎?https://www.youtube.com/watch?v=_SSXmDKoIGQ 中視CTV報導博元婦產科:EEVA縮時攝影選胚胎,助孕資優娃娃! &nbs...
2013.06.03
大陰唇月經來長大草莓
http://tw.myblog.yahoo.com/jw!5xi2X8mRCU5T1jq0ku0-/article?mid=80312&prev=80314&next=-1
分類:醫療、保健
...
2013.06.03
婦人罕見外陰長草莓 醫師﹔子宮內膜異位瘤
2013-6-3 18:27
...
蘋果日報報導彰化博元婦產科院長蔡鋒博醫師:彰化市博元婦產科院長蔡鋒博醫師昨表示,此技術值得鼓勵,能掌握胚胎的早期行為,發現哪些胚胎是有潛力發育而成的「資優生」。未來會評估是否購買。
2013.06.03
蘋果日報報導彰化博元婦產科院長蔡鋒博醫師:彰化市博元婦產科院長蔡鋒博醫師昨表示,此技術值得鼓勵,能掌握胚胎的早期行為,發現哪些胚胎是有潛力發育而成的「資優生」。未來會評估是否購買。
<a href="http://www.flickr.com/photo...
2013.06.01
博元婦產科試管嬰兒龍鳯胎,相信嗎?蔡醫師右手抱的是男嬰!
2013.06.01
治痛風服秋水仙素竟成無精男 醫師:停用可恢復千萬雄兵
台灣好新聞-2013年05月28日 下午18:34
...
2013.05.31
最高可拿9萬9車馬費 一家五口揪團捐卵
正文
網友評論
【熱銷...



















